Diagnostics
Treating sick and injured pets with diagnostics.
At Monhagen Veterinary Hospital, our goal is keeping your pet happy and healthy. Thanks to modern diagnostics and our on-site laboratory, we're able to do just that for sick and injured pets.
Monhagen Veterinary Hospital offers not only the ability to perform in house laboratory work, Heartworm testing, Tick borne disease testing, Feline Leukemia and Feline Retrovirus testing; but also access to a full service outside laboratory for the purpose of performing routine health screenings, fecal exams, therapeutic drug monitoring, histopathologies, stone analysis, and various other specialty tests.
With the shared goal of successful recovery, our team of experienced veterinarians works together to return your pet to good health.
Learn more about our diagnostic services here:
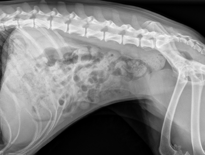
Pet Digital Radiology
Digital x-rays assist in diagnosing illness & injury.
